Бурый жир: как клетки генерируют тепло, сжигая калории
Специальные жировые клетки, известные как бурые адипоциты, помогают поддерживать температуру тела, преобразуя богатые калориями питательные вещества в тепло. Это защищает нас от набора лишнего веса и от метаболических нарушений.
Международная группа исследователей под руководством профессора Александра Бартельта из Института профилактики сердечно-сосудистых заболеваний (IPEK) расшифровала новый механизм, который усиливает дыхание и метаболическую активность клеток бурого жира. Исследователи надеются, что это открытие приведет к новым подходам, использующим бурый жир против метаболических заболеваний. Их результаты были опубликованы в журнале EMBO Journal.
Активация жиросжигающих клеток заставляет людей терять вес. Когда холодно, бурые адипоциты извлекают топливо из жировых отложений, поскольку термогенез требует большого количества калорий. «Люди, которые тренируют бурый жир посредством регулярного воздействия холода, худеют и менее склонны к развитию диабета и сердечно-сосудистых заболеваний», — говорит Бартелт.
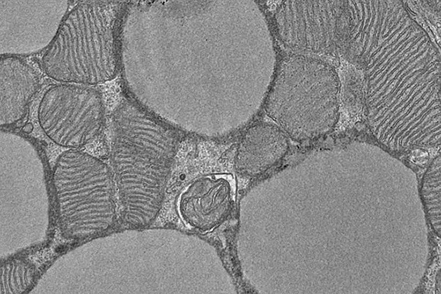
Клетки бурого жира особенно богаты митохондриями, энергетическими станциями , где происходит клеточное дыхание . Однако наука пока недостаточно понимает, как клетки бурого жира усиливают метаболизм, чтобы можно было разработать новые методы лечения.
Молекулярный трюк бурых жировых клеток заключается в разъединении белка-1, который обеспечивает выработку тепла вместо АТФ, обычного продукта клеточного дыхания. «Высокая метаболическая активность бурых жировых клеток также должна влиять на выработку АТФ», — говорит Бартелт, — «и мы предположили, что этот процесс будет регулироваться холодом».
Вместе с бразильскими коллегами из Сан-Паулу исследователи идентифицировали «ингибиторный фактор 1», который обеспечивает поддержание выработки АТФ вместо термогенеза. При понижении температуры уровень ингибирующего фактора 1 падает и может иметь место термогенез. При искусственном повышении ингибирующий фактор 1 нарушает активацию бурого жира на холоде.
Эти результаты были получены на изолированных митохондриях, культивируемых клетках и животной модели. «Хотя мы нашли важную часть головоломки для понимания термогенеза, терапевтическое применение еще далеко», — объясняет Хенвер Брунетта, проводивший исследование.
По словам авторов, большинство людей используют свой бурый жир слишком мало, и он становится спящим. Результаты нового исследования указывают на то, что существуют молекулярные переключатели, которые позволяют митохондриям клеток бурого жира работать лучше.
Бартелт и его коллеги планируют развивать это открытие. «В идеале мы найдем новые способы, основанные на наших данных, чтобы также восстановить пригодность митохондрий в белых жировых клетках, поскольку у большинства людей их много, если не слишком много», — заключает Бартелт.
			
			Обсудим?
		
	
	Смотрите также:
	


 
       
       
       
       
       
       
       
       
       
       
      